Produkty
Fusion THI 2.0
Opierając się na nowej generacji harmonicznej inwersji tkankowej, Fusion THI 2.0 integruje falę
podstawową i falę harmoniczną w polu dalekim. Dzięki znacznie ulepszonej fali harmonicznej
tkanki zapewnia obraz o poprawionej penetracji, skutecznie zwiększając rozdzielczość obrazu i
kontrast tkanki.
Xbeam
Ulepszony Xbeam to nowy tryb przetwarzania oparty na przedniej części formowania wiązki
ultradźwiękowej. Dzięki sterowalnemu kątowi wiązki i wysokiej liczbie klatek na sekundę skutecznie
zwiększa rozdzielczość przestrzenną i zmniejsza cień tkanki. Xbeam dotyczy większości rodzajów sond.
Nanopure i Nanoview
Dwa rodzaje technologii redukcji plamek są gotowe do użycia w zależności od różnych tkanek.
Nowo opracowana technologia Nanopure ma niezwykłą wydajność w skanowaniu układu
krążenia MSK i narządów powierzchownych, podczas gdy Nanoview zachowuje swoją przewagę
w optymalizacji obrazu brzucha i OB/Gin.
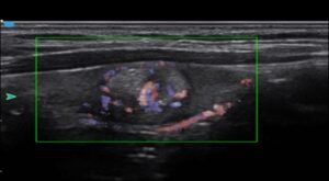
VS Flow
SIUI VS Flow to technologia obrazowania przepływu Dopplera o wysokiej rozdzielczości
przestrzennej. Zbieranych jest o 30% więcej sygnałów bocznych w celu zwiększenia czułości
całego przepływu, zwłaszcza przepływu o małej prędkości.
Zrównoważona kompensacja echa
Ulepszony Apogee 5300 przeszczepia technologię zrównoważonej kompensacji echa z platformy high-end.
Skutecznie kompensuje słabe sygnały echa i ogranicza sygnały hiperecha zgodnie z rozkładem skali
szarości, zapewniając znacznie bardziej jednolity obraz.
Technologia sondy 5Q
Technologia sondy 5Q firmy SIUI odnosi się do pięciu technologii poprawiających jakość obrazu, w tym
wysokowydajnych materiałów kryształowych PZT, technologii cięcia kryształów, wypełniacza odstępów
między elementami, technologii wielu dopasowanych warstw i zoptymalizowanej fali pola dźwiękowego.
Wszystkie te technologie zostały zintegrowane w celu zwiększenia przepustowości sondy i zwiększenia jej
czułości oraz rozdzielczości.
Wybrane funkcje:
Semi auto EF umożliwia skuteczną i szybką diagnostykę.


Auto IMT dokonuje dokładnej oceny.

4D nSlice / Any cut / Opti-4D przeprowadza skanowanie bez wysiłku.

Needle Enhancement (wzmocnienie igły)
Poprawia wizualizację położenia igły, oferując lekarzom niezawodność i pewność oraz
zmniejszając ryzyko biopsji igłowej.
Automatyczne EF
Ocena funkcji serca wymaga dokładności i szybkości, ponieważ konieczne jest wykonanie
różnych obliczeń. Automatyczne śledzenie i obliczanie oznacza większą wydajność w praktyce.
Funkcja Auto EF, oparta na technologii śledzenia plamek, umożliwia pozyskiwanie 2D EF i
objętości w ramach usprawnionego przepływu pracy.
Auto SG
Globalną i regionalną funkcję mięśnia sercowego można ocenić za pomocą Auto SG,
automatycznego narzędzia do oceny ilościowej. Analiza odkształcenia segmentowego, analiza
17-segmentowa i analiza „byczego oka” umożliwiają kompleksową analizę funkcji serca.

Lumi 4D
Dzięki wysokiej rozdzielczości obsługuje stereoskopowe obrazowanie płodu w czasie
rzeczywistym i statyczne. Połysk i kąt źródła światła można regulować w celu lepszego
wyświetlania szczegółów. Przedstawia realistyczny obraz 4D z bardziej przydatnymi informacjami.
nSlice
Prezentuje wiele sekcji obiektu 4D pod różnymi kątami, obracając, aby szybko znaleźć potrzebną
projekcję. Dokładność diagnostyczną poprawia się, dostosowując grubość i kąt przekroju, aby
wyraźniej obserwować rozmiar kształtu i otoczenie obszaru docelowego.

Elastografia
Wyposażony w zaawansowaną Elastografię Apogee 5500 przyczynia się do bezpiecznej i
dokładnej oceny chorób sutka.

S-station
Spersonalizowane narzędzia do edycji i szablony raportów ułatwiają pracę.

S-view
Jednoczesne porównywanie obrazów i filmów ułatwia diagnozę.

S-helper
Wbudowane oprogramowanie do nauczania z animacją 3D ułatwia wykonywanie ćwiczeń.

Quick ID
Szybkie tworzenie identyfikatorów bez wprowadzania informacji o pacjencie, odpowiednie w
sytuacjach awaryjnych.
Q-preset
Bez wchodzenia w interfejs konfiguracji, parametry zdefiniowane przez użytkownika można
szybko zapisać jednym kliknięciem.













